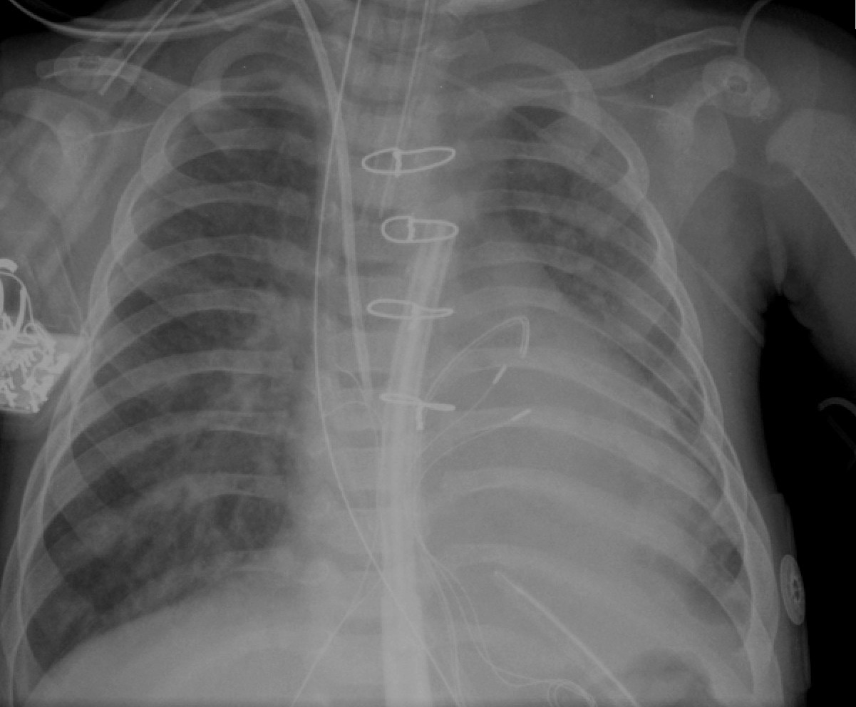
Answer: RV outflow tract.
Rationale: PA pressure has a ventricular trace with a pressure of 55/1. If you enlarge and see, pressure trace is typical of a ventricular pattern. So, the line tip is in the RV. But, in the CXR, it is high up in the RV. Combining the two findings, the line tip has to be below the valve i.e. RVOT.
Of course, this patient has elevated PA pressure at ~50% systemic level.

No comments:
Post a Comment
Comments are moderated.